Updated: Nov 14, 2018
Reflections on the age old question of how a good God can allow disease and suffering in this world. This will be part I in however many posts it takes for me to write about how God has responded to my questions over the last few years. While I’m still in the midst of writing the last few posts, I thought it made sense to post this on Pregnancy and Infant Loss Remembrance Day, as this is the first time we are sharing our story beyond our closest circle.

It was 2013. My husband and I had just emerged in a fresh, new place after some very dark years in our lives and our marriage. We had worked hard in couples therapy. We had pressed in to God and experienced breakthrough, healing, and restoration. And we had just celebrated with a beautiful vow renewal ceremony in the Malibu mountains, surrounded by some of our closest friends and family. Fitting, as we felt like we had achieved new heights in so many spheres of our lives, confronting and conquering so much of what had threatened to tear us apart. “If you survive the storm, there’s more fish to catch,” and “the best is yet to come” were the themes and prophetic words spoken over us that day. And prophetic they were – just not necessarily in the ways that we expected.
The first storm came that Fall. With our relationship in a better place, we had begun to casually try for a baby. In a few unexpectedly quick months, we joyfully discovered that we were pregnant! We found out just a few weeks before a vacation that we were about to take, and we were so thrilled to celebrate on the trip!
Throughout the trip, my husband couldn’t contain his excitement. Since we were across the world in the company and safety of strangers, he announced to anyone and everyone that we were pregnant. The cab driver, the tour guide, the waiter, the shop owner, other fellow tourists. We prayed for the baby daily, even journaling and writing affectionate letters. And when my parents joined us on the trip, we had the joy of surprising them with the announcement, to which they erupted in the happiest hoots and hollers.


When we returned home, we continued to pray for the baby daily and also prayed that God would start impressing on us what the baby’s name should be. We would debate during the day with our respective picks, but one night, God dropped a name on my heart, and when I shared it with my husband, we both instantly knew this was the right name. It was “June,” named after the therapist who helped us work through some of those challenging years, but also meaning the beginning of Summer, marking for us the beginning of a new season. This was before we even knew the sex of the baby, but I somehow felt strongly that she was a girl, and we figured if not, we could still find a way to make the name June work.
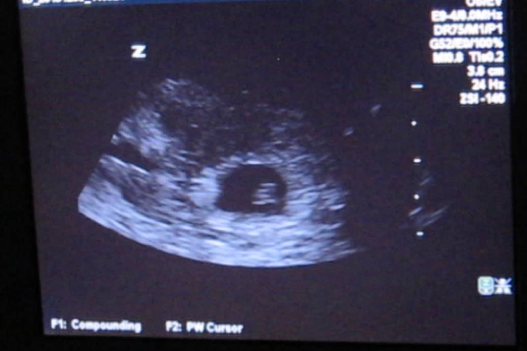
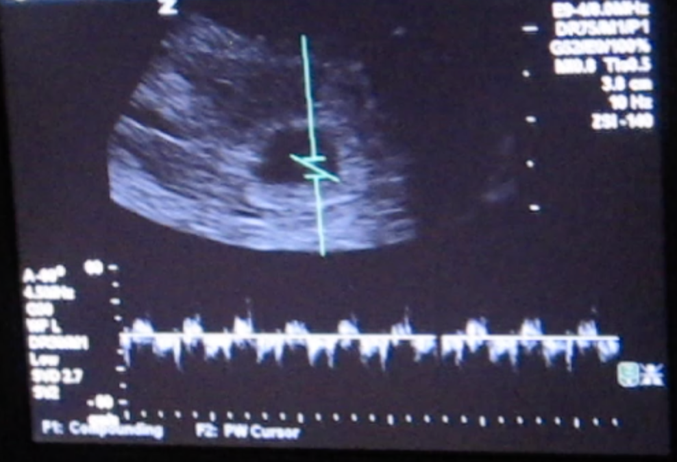
Our first appointment was exciting. Without a hitch. We even got to hear the baby’s heartbeat! We thought nothing of it when the OB-GYN asked me to remind her when the first day of my last period was, and if there was any chance it had been late. Nothing to worry about, she said – sometimes they track a little small but most of the time they catch up, and due dates can always be a little off.

But three weeks later, only a week before the first trimester would be over and we could make our big announcement, the signs of trouble began. I was bleeding. It seemed like it was just spotting initially. But it continued. But it wasn’t like the stories I had heard, with cramping and more blood, so we tried to remain calm. But when it didn’t stop for a while, we thought it would be best to go in and get it checked.
The technician spent a long time with us. She kept moving the probe around for what seemed like a full half hour, as if she was looking as hard as I was praying. When we asked, she said she isn’t allowed to interpret what she sees, that she can only share the report with the physician who then interprets for us. We were wheeled back to our little room in the emergency department and waited and waited. When the on-call OB came in, she confirmed the worst, with a tone of voice indicating that despite having had to deliver the message time and time again, it never got easier: “We couldn’t find a heartbeat. I’m sorry.”
We broke down immediately. We couldn’t contain it. Yet, even in that moment of grief, we had to quickly pull ourselves together to start making some practical decisions on what to do next. It was bizarre, surreal, an out of body experience. Since mine had been a “silent miscarriage,” meaning the baby was still inside, they recommended to take some pills that would help the baby pass through naturally at home. We packed up our stuff, picked up the meds, and headed to the car.
The strangest thing was what to do next. We had not yet had the chance to tell anyone we were in the hospital. No one even knew we were pregnant. We were actually scheduled to be at a dinner party soon, thirty minutes from the time we had left the hospital, that we had committed to and had been months in the making. What were we supposed to do? With the alternative being to go home and face a grief we’d never known before completely on our own, we opted to attend, to have a couple hours where we could pretend to be normal. But of course, we were anything but.
I won’t go into the details of the subsequent days, which included dealing with a profound sense of loss (the depth of which surprised me), painfully waiting for the baby to pass through (which never happened), ultimately resulting in having to do a D&C with barely any pain meds due to a mishap in the pharmacy. The loneliness afterwards, with our news shared only with a small circle. And then, the big question that inevitably came.
How could He.
He could He let this happen.
How could a good God, whom I love, who I know loves me, who has the power to heal in an instant, allow this to happen? To us, as his beloved children? To our baby, an innocent child? To the countless number of those before us?
I don’t know what hurt more: the loss of a baby that we were so excited for, that was so wanted…or the pain of feeling like I had been betrayed by my closest, trusted, best friend.
And thus began my precarious journey of wrestling with this question, that no doubt has led many the aggrieved to relinquish their beloved God, to walk away from their faith. Precarious because, in the search for answers, I wasn’t quite sure how I myself would emerge on the other side.
Little did I know that this was only the beginning.
To be continued:
Part II: Life In Constant Threat
Part IV: The Start of a New Narrative
Part VI: Some Emerging Theology on Disease
Part VII: Some Conclusions (Though Always An Ongoing Work-In-Progress)
One thought on “On Disease and Suffering, Pt. I – Reflections on the age old question of how a good God can allow disease and suffering in this world”